در سیستم ارتودنسی ثابت بیمار نمی تواند دستگاه ارتودنسی را از دهان خارج نماید. در سیستم ارتودنسی ثابت قطعات به صورت قطعات کوچک و نگین مانند برروی دندان چسبانده شده و ثابت می گردند. به این قطعات ریز براکت می گویند. این روش درمانی برخلاف درمان ارتودنسی متحرک، وابسته به همکاری بیمار نمی باشد.
طول درمان ارتودنسی ثابت به طور متوسط ۲ سال می باشد ولی براساس نوع ناهنجاری بیمار و شدت مشکل می تواند بیشتر هم بشود. بیمار در هنگام دوره درمانی ثابت نباید غذاهایی با سفتی زیاد مثل ته دیگ، بلال، میوه های هسته دار، زیتون و غیره را استفاده نماید. در غیر این صورت براکت از دندان جدا می شود که می بایست براکت جدیدی برای بیمار چسبانده شود که این امر می تواند باعث طولانی شدن زمان درمان و آسیب به دندان گردد. در این دوره بیمار از نظر بهداشت، به مراقبت های خاصی نیاز دارد تا از ایجاد تغییر رنگ و پوسیدگی در دندانها جلوگیری به عمل آید.
روند درمان ارتودنسی ثابت
در درمانهای ارتودنسی ثابت می توان ماهی یک میلیمتر دندان را حرکت داد و این امر در بعضی مقاطع درمانی چندان مشهود نخواهد بود. در بعضی از موارد از بیمار براساس نوع ناهنجاری دندان کشیده می شود. در اینگونه از بیماران در چند جلسه اول حرکت دندانها بخوبی مشهود است و دندانها به جای فضای خالی حرکت داده می شوند که از نظر بیمار به خوبی قابل مشاهده است.
بیمار می بایست ماهی یک بار جهت درمان ویزیت شود. در هر جلسه بعد از فعال کردن کش ها، سیم ها و یا فنرها ممکن است بیمار مقداری درد داشته باشد که به مرور زمان در هفته اول کاهش می یابد. گاهی در بین جلسات معاینه به دلیل حرکت دندانها ممکن است مقداری از انتهای سیم ها از آخرین دندان خارج شود و باعث احساس تیزی و آزار گونه بیمار شود که در این صورت نیاز است بیمار وقت اورژانس گرفته و زودتر از موعد مقرر به متخصص ارتودنسی خود مراجعه نماید تا انتهای سیم کوتاه شود.
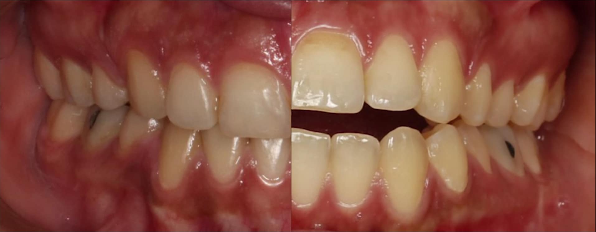
حال در ادامه نمونه ای از قبل و بعد ارتودنسی ثابت به نمایش گذاشته شده که می توانید نتیجه کار را به وضوح مشاهده بفرمایید


بدون دیدگاه